HIRANO 津山第一病院

トップページ

診療科のご案内

外来時のご案内

診療時間表

入院時のご案内

人間ドックのご案内

病院案内

法人案内

お問い合わせ

医療機関向け CT / MRI 検査予約

医療機器共同利用(骨密度測定検査)のご案内



回復期リハビリテーション病棟のご案内

看護部ページ

職員募集



ERセンター

カルテ開示について



病院へのアクセス



CAFE BONHEUR



契約入札情報

医療法人 平野同仁会 救急・労災指定病院 岡山県 胃・大腸がん・乳がん精密検診施設

尿路結石(腎結石、尿管結石、膀胱結石など)

1. 概要
 腎臓で作られた尿が流れる道を尿路と呼びます。尿路には腎臓、尿管、膀胱、尿道が含まれ、そのどこかにミネラルや有機物を含む結石ができる病気を尿路結石といいます。
 尿路結石の患者数は世界的に増えており、食生活の変化や地球温暖化の影響があるのではないかと考えられています。尿路結石になりやすい年齢は、日本人の男性では40代、女性では50代が多いです。
 結石のある場所が腎臓や尿管の場合には上部尿路結石といい、膀胱や尿道の場合には下部尿路結石といいます。日本人では尿路結石のうち95%以上が上部尿路結石であるといわれています。
2. 症状
 結石の大きさや結石のある場所によって様々ですが、背中や脇腹の痛み、吐気、血尿、発熱、頻尿などがよく起こります。小さい結石の場合には飲水や運動などの生活指導のみのこともありますが、結石が大きく自然に排出されることが期待できないときや激しい痛みが繰り返し起こる場合などには、入院して積極的な治療を行います。
 尿路結石は再発の多い病気なので、予防のために水分摂取や食事内容に気を付けるといいでしょう。
3. 検査・診断
① 検尿・尿沈渣
 肉眼ではわからなくても、顕微鏡で赤血球が検出されることがあります(顕微鏡的血尿)。
② 超音波検査
 大きさが5mm以上の腎結石や尿管結石嵌頓による腎盂の腫れなどが確認できます。
③ レントゲン検査
 小さな結石やレントゲンには写らない成分の結石の診断は困難ですが簡易的に行える検査です。
④ CT検査
 被爆の問題はありますが、結石の大きさ、部位に関わらず検出できる有用な検査です。
4. 治療
① 保存的治療
 症状が軽く自然排石に期待がもてる場合には、水分摂取や運動など体動を勧めます。
② 薬物治療
 解熱・鎮痛剤や排石を促進する薬などを使用します。
③ 外科的治療

1)対外衝撃波結石破砕術(ESWL)
 ESWLの原理は主に次のように考えられています。衝撃波は、生体内をほぼ水と同じ程度に容易に通過しますが、結石は通過し難く、そのため衝撃波は結石に当たると牽引力、圧縮力を発します。これを収束することにより結石を破砕できます。尿路結石のほとんどはESWLの対象となりえます。しかし、結石の成分や位置などにより破砕されやすさは異なります。
 緊急時には不向きな治療ですが、基本的に入院の必要がなく外来通院で可能です。また、膀胱結石は適応外になります。
ESWL装置

 ※ESWL装置


2)経尿道的腎尿管結石砕石術(TUL)
 尿道から内視鏡を膀胱、尿管、腎盂に挿入して結石を砕石(レーザー、空圧式砕石機)、除去する治療を経尿道的結石破砕術(TUL)といいます。経尿道的腎、尿管、膀胱、尿道の砕石が施行可能となりましたが、結石の大きさや位置によっては、体外衝撃波結石破砕術(ESWL)と併用します。また、ESWLでは破砕できなかった場合でもTULは有効な手術となります。
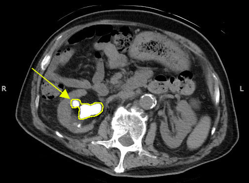
尿路結石のCT
※尿路結石のCT画像
TULのイメージ
※経尿道的腎・尿管結石砕石術(TUL)のイメージ画像


3)経皮的腎結石破砕術(PNL)
 腰背部より腎臓に向けて尿路にいたるルートを作成し、そのルートより内視鏡を挿入し腎臓や尿管内の結石を砕石、除去する術式をいいます。
 ESWLやTULでは治療が困難で、尿管からの排泄が不良と考えられる腎結石、結石長径2cmを超える大きな結石など、治療に難渋するタイプの結石に対して、単独、あるいは他の治療と併用して行います。
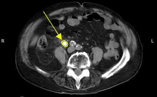
腎結石のCT
※腎結石のCT画像
PNLのイメージ
※経皮的腎結石破砕術(PNL)のイメージ画像


4)経尿道的膀胱結石砕石術
 膀胱結石は、尿道から内視鏡を挿入し、砕石機やレーザーで砕石、除去します。
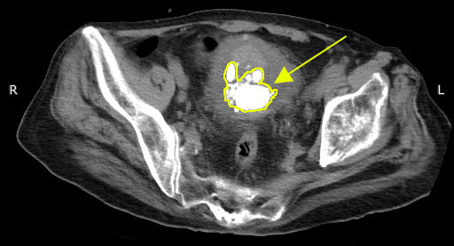
膀胱結石のCT
※膀胱結石のCT画像
泌尿器科トップページへ


救急・労災指定病院 岡山県 胃・大腸がん・乳がん精密検診施設

内科・循環器内科・心臓血管外科・整形外科・リハビリテーション科・形成外科・放射線科・麻酔科・乳腺外科
大腸・肛門外科・消化器内科・消化器外科・内視鏡外科・耳鼻咽喉科・皮膚科・泌尿器科・脳神経外科・外科


医療法人 平野同仁会 総合病院津山第一病院
〒708-0871 岡山県津山市中島438番地TEL(0868)28-2211 FAX(0868)28-2280
E-mail:info@tsuyama-1sthp.jp http://tsuyama-1sthp.jp
     PRIVACY POLICY
Copyright 2005 TSUYAMA DAIICHI HOSPITAL.All rights reserved. No reproduction or republication without written permission.